How Long do the Results of Teeth Whitening Treatments Last

How Long do the Results of Teeth Whitening Treatments Last? from Lee Family and Cosmetic Dentistry in Oxford, MSTeeth whitening treatments are the fastest way to significantly improve the color of teeth, and the results can last for years depending on how well the person takes care of their mouth. These treatments are performed using chemicals with bleaching properties like hydrogen carbamide and hydrogen peroxide.

The bleaching agents can remove stains from the outer layer of teeth called the enamel and the inner layers called the dentin. Whitening treatments work on most types of stains like those caused by tannins – coloring agents – in beverages and foods, aging, or smoking.

There is no fixed length of time the results of teeth whitening treatments last. It comes down to a variety of factors like habits like smoking, the types of foods and beverages you consume, and your commitment to oral hygiene.

For some people, like those who smoke, it might only take a couple of months for noticeable new stains to build up on their teeth. Those who do a better job of avoiding things that can stain or discolor them might be able to retain their teeth’s new color for years.

Getting the most out of teeth whitening treatments

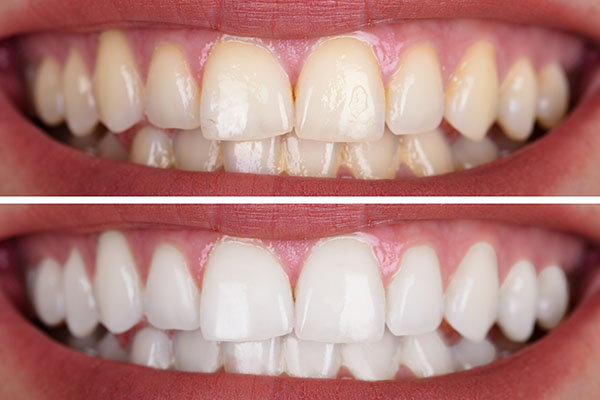
A single whitening session can improve the color of a person’s teeth by up to 10 shades and that is often enough to significantly improve how the person’s smile looks. However, teeth will not automatically remain at their new color forever since they are still regularly exposed to all the things that led to them becoming stained or discolored in the first place.

Here are some things that help to keep teeth looking pearly white after whitening treatments:

1. Practice good oral hygiene

Good oral hygiene goes a long way when it comes to keeping stains and discoloration from forming on teeth. It helps to remove food particles and their coloring agents from teeth surfaces, and it gets rid of plaque before it gets a chance to harden and turn into tartar.

Tartar is more prone to staining than teeth surfaces so teeth that are covered in tartar are more likely to pick up stains and discoloration. Dentists recommend brushing at least two times daily and flossing once every day to keep their teeth clean and stain free.

2. Avoid color-rich foods

Foods and beverages like beets, coffee, red wine, and pasta sauce have very powerful coloring agents that tend to discolor anything they make contact with. For example, leftover pasta sauce often permanently discolors plastic containers it is kept in, giving them a permanent orange tint.

The strong powerful agents in these foods and beverages have the same effect on a person’s teeth. Dentists recommend avoiding them completely for the first 24 hours after whitening treatments and keeping their consumption to a minimum afterward. Teeth should be rinsed with water after consuming such foods and beverages to remove their tannins.

Check out what others are saying about our dental services on Yelp: Teeth Whitening in Oxford, MS

Maintenance treatments also help

Regardless of how well you take care of your newly whitened teeth, they will eventually pick up new stains and discoloration. Maintenance treatments can be performed as needed to help restore the color of your teeth. Call or visit our Oxford clinic to learn more about how our dentist can help to keep your teeth looking pearly white.

Request an appointment or call Lee Family and Cosmetic Dentistry at 662-546-1143 for an appointment in our Oxford office.

Related Posts

Professional Teeth Whitening Aftercare Tips

More and more people want to have teeth whitening treatments. It seems that whiter, brighter teeth present a good state of health and self-esteem. An in-office tooth-bleaching treatment is far more effective than over-the-counter products. Having a professional whiten your teeth can be expensive. If you want to protect your teeth whitening investment, here are…

Teeth Whitening 101: How Long Does A Session Last

Teeth whitening treatments can get you a drastically improved smile in as little as 60 minutes. Your smile is an important part of your appearance since it is one of the first things people notice during social interactions. A pearly white smile is a great way to make a solid first impression. Teeth whitening treatments…

Are Teeth Whitening Treatments Effective On All Types Of Stains

Teeth whitening treatments can get you the pearly set of white teeth you have always wanted. It is an effective way to get rid of most types of stains and discoloration like those caused by the coloring agents in the things you eat and drink, habits like smoking, and the yellowing effect of aging on…